Sunday, May 2, 2010
New Scanner/Level 2 Trauma
My facility is very busy and is responsible for 7 floors of in-patients, a full schedule of out-patients, and two busy Emergency Departments. We operate with 4 scanners. These scanners are comprised of a GE 1-slice (used mainly for biopsies and drainage's), a GE 8-slice, a Phillips 16-slice, and a GE 64-slice. We have the capacity to scan a patient at 500lbs. This summer we are getting an additional scanner. My facility is converting to a level 2 trauma center and we will gain an additional GE 64-slice scanner. I am excited about learning the software on the new scanner and I am excited to see what new features this version has. Turning into a level 2 trauma center will be significant change from what we are currently doing. We currently don't see a huge amount of trauma. We generally see old trauma, post-surgery, chest issues, general head work, and generalized abdominal pain through our Emergency Department.
CT Enterography w/ VoLumen
My facility does a routine abdomen/pelvis study after Enterography exams that are started in Radiology. Lately, this process has been changed to eliminate the general Radiography portion of the exam. This process has been changed by using a negative oral contrast called VoLumen. This exam is done for evaluation of Crohn's disease or suspected inflammatory bowel disease. For this exam: 20ml/Kg of VoLumen up to 1350 (3 bottles) total, is drank by the patient. The patient should drink each bottle (450 ml) over 20-25 minutes. The patient then drinks 8oz. of water and lies on his or her right side 2-3 minutes. This exam follows a CTA/CTV protocol. This exam eliminates the invasive nature of using an NG tube as in traditional Enterography. VoLumen is also used in some routine abdomen/pelvis exams instead of other, more commonly used types of contrast. The advantages of VoLumen are superior lumen to wall differentiation compared to positive contrasts, improved quality of post-processed 3D images, and better bowel distention.
Sunday, April 18, 2010
Pneumomediastinum


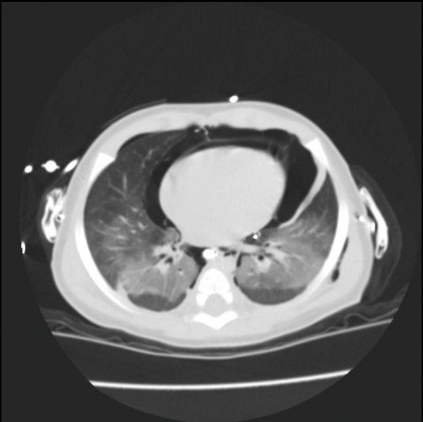
A 23 year-old woman came into the ER with severe chest pain and sob. We obtained a CTA chest to evaluate for pulmonary embolism. Instead of pulmonary embolism, the Radiologist found a pneumomediastinum on the patients left side and subcutaneous air continuing superiorly into the neck. The patient had no prior diagnosis of these conditions and had not experienced any trauma. Pneumomediastinum is not common and can be caused by several factors. These can include sudden altitude changes, trachea tear, inhalants, and trauma. Subcutaneous air or emphysema in the neck is usually a result of the pneumomediastinum. These images are examples of pneumomediastinum and subcutaneous emphysema.
Tuesday, April 6, 2010
Perfusion Study

My facility practices a stroke protocol for patients who exhibit signs of stroke. This test is very common and we do this on average once per day. Recently, a 70 year-old woman came in with signs of generalized weakness. While waiting to be treated the patient began to feel specific weakness on one side and trouble with speech. This patient was then immediately treated as a stroke protocol. Indications of stroke include slurred speech, droopy face, loss of vision, painful headache, weakness on one side, and loss of balance. To diagnose stroke we performed a perfusion study. This includes a CT brain w/o contrast followed by a perfusion of the brain with 40 ml of contrast injected at 7ml/sec. The 952 images obtained during the perfusion study are sent to a workstation where the blood flow is measured. This exam is then followed by a CTA head and neck where 100ml of contrast is injected at 4ml/sec. This test is usually performed on patients who have exhibited signs of stroke for less than one hour.
Friday, February 19, 2010
PANCREATITIS

Abdomen and Pelvis CT scans are very common and are performed routinely. The indications for these exams vary, and commonly start as abdominal pain or renal/flank pain. Many patients who have abdominal pain are diagnosed with pancreatitis. Pancreatitis is an inflammation of the pancreas where the gland may swell and digestion can be dramatically altered, causing the normal function of the pancreas to stop. Pancreatitis can cause damage to surrounding tissues or the gland itself. This disorder can be labeled as acute or chronic. Acute pancreatitis can be painful, however the pancreas can regain normal function. Chronic pancreatitis can be persistent, making the patient very sick, and permanent damage to the pancreas is usually associated. Thousands of people are diagnosed with pancreatitis every year and it can affect people of any age. Pancreatitis is usually diagnosed or followed-up with an abdominal CT, with oral and IV contrast (60 sec. delay at 3-4 ml/sec.). This protocol can vary for each patient or ordering doctor. This CT image is of a male in his 70's who is diagnosed with acute pancreatitis.
Friday, January 29, 2010
Horseshoe Kidney


I have been very busy this semester. I have been working full time and studying for my CT boards. I see many interesting cases working in CT. This week I saw a patient who had horseshoe kidneys. Horseshoe kidneys are very common. This affects 1 in 400 people, mostly males. This is a congenital anomaly where the kidneys are fused together. This fusion usually occurs in the lower poles of the kidneys. Horseshoe kidneys can be diagnosed by CT Scan or even IVP. Common problems associated with horseshoe kidneys include frequent infection, recurrent renal stones, and ureter obstruction. About 1/3 of the people with known horseshoe kidneys have no symptoms or complications.
Subscribe to:
Comments (Atom)